1.ハムストリングスの肉離れの分類
⚫️重症度
・JISS分類(MRI)
Ⅰ度 わずかな損傷(腱膜の輪郭が保たれる)
Ⅱ度 部分断裂 (腱膜が部分的に断裂している)
Ⅲ度 完全断裂(腱膜がすべて断裂している)
(仁賀定雄. “ハムストリング肉離れ.” The Japanese Journal of Rehabilitation Medicine 56.10 (2019): 778-783.)
・奥脇分類(MRI)
Ⅰ型 筋腱移行部の血管損傷のみ
Ⅱ型 筋腱移行部損傷,特に腱膜の損傷
Ⅲ型 腱性部(付着部)の完全断裂

・現場感について
Ⅰ型 運動の継続が可能(練習や試合後の訴え)
Ⅱ型 運動継続困難(動作の変化あり)
Ⅲ型 明らかなエピソードあり(自重+慣性or外力)
(肉離れ-今,求められているもの-鎌田浩史、臨床スポーツ医学、第42巻第2号、2025、p118-121)
⚫️復帰時期の目安(時間)
Ⅰ度 2.0±1.0週(1~6週)
Ⅱ度 6.4±2.2週(3~12週)
Ⅲ度 9.8±3.2週(4~16週)
(仁賀定雄. “ハムストリング肉離れ.” The Japanese Journal of Rehabilitation Medicine 56.10 (2019): 778-783.)

◉Ⅰ型の例

(奥脇 透:大腿二頭筋肉ばなれの MRI 分類、臨床スポーツ、2019より引用)
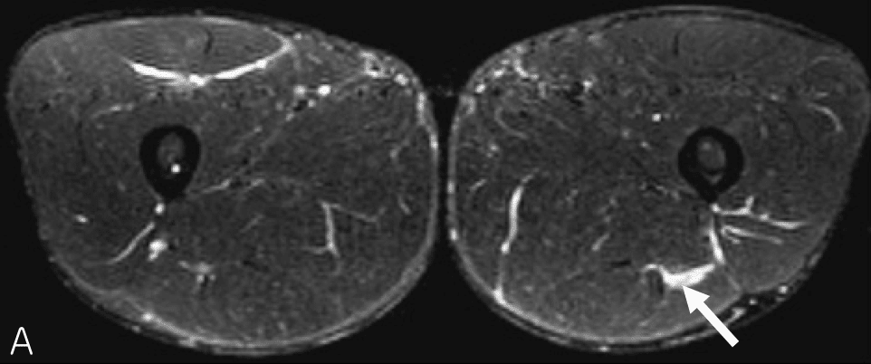
◉Ⅱ型の例
・Ⅱ型1度

(奥脇 透:大腿二頭筋肉ばなれの MRI 分類、臨床スポーツ、2019より引用)

(奥脇 透:大腿二頭筋肉ばなれの MRI 分類、臨床スポーツ、2019より引用)
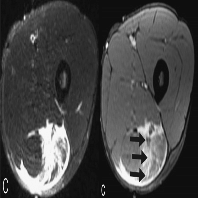
・Ⅱ型2度

(Pedret C, J Belg Soc Radiol. 2022から引用)

腱膜の連続性が背側部に途絶
(奥脇 透:大腿二頭筋肉ばなれの MRI 分類、臨床スポーツ、2019より引用)
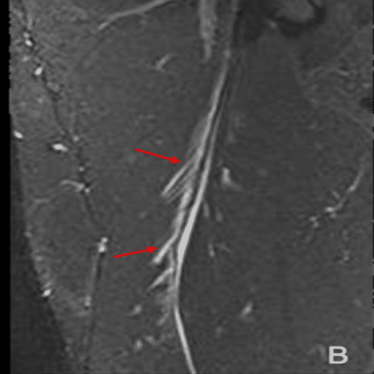
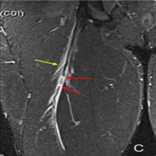
・Ⅱ型3度

(Pedret C, J Belg Soc Radiol. 2022から引用)


全周性に腱膜の連続性が確認できない
(奥脇 透:大腿二頭筋肉ばなれの MRI 分類、臨床スポーツ、2019より引用)
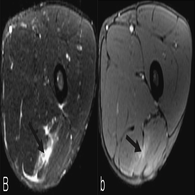
◉Ⅲ型の例

(奥脇 透:大腿二頭筋肉ばなれの MRI 分類、臨床スポーツ、2019より引用)
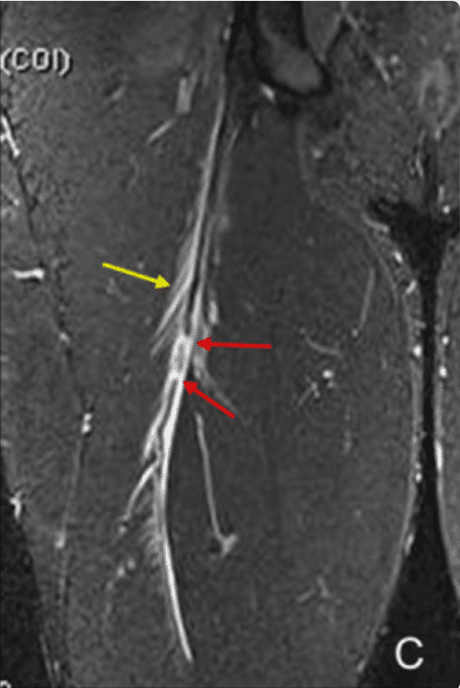
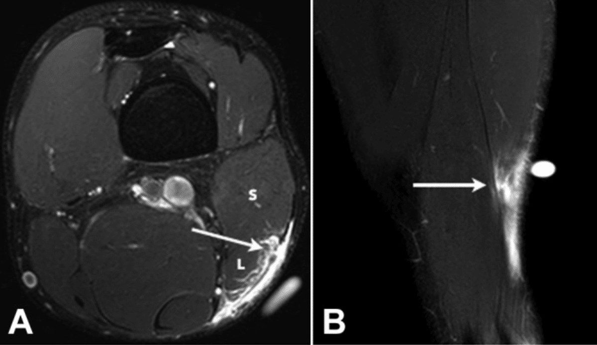
◉損傷後の修復が得られにくい大腿二頭筋遠位部損傷
(Distal Musculotendinous T Junction:DMTJ)

(Entwisle T, Ling Y, Splatt A, Brukner P, Connell D. Distal Musculotendinous T Junction Injuries of the Biceps Femoris: An MRI Case Review. Orthop J Sports Med. 2017 から引用)

(Entwisle T, Ling Y, Splatt A, Brukner P, Connell D. Distal Musculotendinous T Junction Injuries of the Biceps Femoris: An MRI Case Review. Orthop J Sports Med. 2017 から引用)
⚫️画像所見の現状の結論
受傷後24時間以内では、最も優れた画像診断法はMRIである可能性が高く、USは72時間以降および経過観察時に有用となる。
受傷後24時間以内にMRIから得られる情報は、多くの場合、復帰(RTP)までの期間を正確に予測することを可能にする。
とされています。
(Pedret C. Hamstring Muscle Injuries: MRI and Ultrasound for Diagnosis and Prognosis. J Belg Soc Radiol. 2022 Mar 25;105(1):91.)
2.ハムストリングス肉離れの評価項目
ここから先は有料部分です
この情報へのアクセスはメンバーに限定されています。ログインしてください。メンバー登録は下記リンクをクリックしてください。